HOME ≫ 診療案内 ≫
診療案内
このような症状はありますか?
このような症状があれば、当院にご相談ください。
思い出しながら来院していただくと、よりスムーズな治療になるかと思います。
- 歯ぐきのどの部分が腫れていますか?
- 歯と歯ぐきの境目あたりですか?
- 歯の根っこのあたりですか?
- 歯並びが気になりますか?
- 歯の色が気になりますか?
- かぶせものの形・色が気になりますか?
- 冷たいものにしみますか?
- 熱いものにしみますか?
- 歯のどの部分がしみますか?
- 痛みますか?
- 磨きにくいですか?
- 斜めに生えていますか?
- 古い入れ歯を使っていませんか?
- いつ頃取れましたか?
- 痛みはありますか?
- 取れたものはお持ちですか?
- あごの関節が痛みますか?
- 咬み合わせが悪いですか?
診療メニュー
一般歯科
虫歯や歯周病、被せもの治療や義歯など歯科治療全般を行います。
患者さまになるべく痛みを感じさせず、リラックスできる環境での治療を提供できるよう心がけております。
院長は入れ歯の治療を東京医科歯科大学で専攻していたこともあり、きっとお役にたてるかと思いますので、ぜひご相談ください。
小児歯科
小児歯科では、できてしまった虫歯の治療だけではなく、永久歯になるまでに虫歯にならないために、フッ素塗布やシーラントなどの予防やお母様への助言などを大切にしています。これらの処置は歯の表面や溝をコーティングし、虫歯のリスクを減らす効果が期待されます。
歯科口腔外科
最新のCT機器によって口腔内変化の早期診断が可能です。
親知らずの抜歯などに特に効果的です。 顎関節症の治療も行っております。
矯正歯科
矯正治療に必要なX線画像であるセファログラムを完備しており、矯正専門医が治療を行います。初診相談
お口の中を拝見し治療の期間や装置、費用などについて充分な時間をかけて説明をさせていただきます。
必要があればレントゲンをお撮りします。
検査診断
レントゲン、歯の模型、写真など総合的に資料を集め、計測や分析を行い、診断し、治療方針を立案します。
矯正治療前の状態を記録する目的もあります。
矯正施術
施術料は、お口の中の状態、治療難易度等に関わらず定額です。
施術料は分割払いも可能です。
取り外しできる装置や部分的に付けたままの装置を用いて、すでに生えている永久歯の不正を治し、上下のあごの成長のバランスを整え、これから生えてくる永久歯がなるべくきれいに咬み合わさるように誘導していきます。
抜歯が必要な場合、保険の適応外となる場合があります。
舌側矯正(見えない矯正)
裏側から行う矯正です。期間・費用ともに約2倍程かかります。
審美矯正(見えにくい矯正)
前歯に目立たない装置を付ける事と審美ワイヤーを用いて行う矯正です。
インプラント
最新のCT機器によって、インプラントを行えるかの状態の確認が、当院で可能です。
インプラントとは?
何らかの理由で失ってしまった歯に、人工の歯根をあごの骨に埋め込み、
その上に人工の歯を入れて回復させる治療です。
インプラント治療には診査が必要です。
口腔内をしっかり診査させていただき、インプラント治療を行っていきます。
診査の結果によっては治療をお断りする場合もあります。
どんな治療をするの?
まず顎の骨を見るために、レントゲン撮影を行います。
当院は3D CTを完備しているので、他の医療機関でCTを撮影しなくても大丈夫です。
あとは、口腔内の石膏模型・歯周病検査・口腔内写真撮影などです。
入れ歯やブリッジとは違うの?
インプラント治療は他の健康な歯を削ることがないので、とてもシンプルにできます。
費用はいくらぐらいかかるの?
現在、インプラント治療は保険適応ではありません。
診査・インプラント・その後の歯も含めて45万円~55万円くらいです。
相談に費用はかかるの?
当院ではインプラント治療の相談は何回でも無料で行います。
ぜひお気軽にご相談ください。
予防歯科
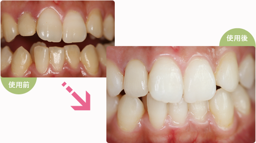
虫歯がなくても、痛いところがなくても、歯科健診にお越しいただき、必要に応じて歯石除去やステイン除去などのメンテナンスや、ホワイトニングなどの審美歯科を行います。
定期的に健診にお越しいただくことが、虫歯や歯周病の予防に大切です。
歯面トリートメント
歯の表面には歯科医院で行ったホワイトニングや、毎日の食事や歯磨きによる目には見えないミクロの傷ができています。そのミクロの傷にプラークや着色がつきやすくなります。
そこで当院の歯科衛生士がナノ粒子ハイドロキシアパタイト配合の仕上げペーストを用いてミクロの傷を補修し、歯の表面をトリートメントすることで、なめらかな歯面になり、着色や虫歯を予防することで美しく健康な歯を保ちます。
ホワイトニング
はつの歯科医院ではホームホワイトニングとオフィスホワイトニングを行っております。
ホームホワイトニング
1度来院していただき、ご自身の歯並びにあったマウスピースを作製します。
そのマウスピースに専用のジェルを適量流し、1日2時間程度マウスピースを装着していただくと約12日間で歯の白さがアップします。
オフィスホワイトニング
当院に来院していただき診療室で行うホワイトニングです。
1本から行うことが可能です。気になる部位をピンポイントで白くすることが可能です。
ホームホワイトニングと併用すると、より効果的です。
どちらのホワイトニングにも注意点がございます。
興味のある方はぜひご来院ください。





